Usluge
3D snimanje
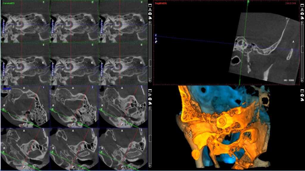
3D snimanje zuba (CBCT)
3D snimanje zuba, poznato kao konusni snimak (Cone Beam Computed Tomography – CBCT), pruža detaljan trodimenzionalni prikaz zuba, vilice i okolnih struktura. Ovaj napredni rendgenski postupak omogućava visoku preciznost u dijagnostici i planiranju tretmana, kao što su implantati, ortodontski aparati, lečenje korena i hirurške intervencije. Korišćenjem Planmeca aparata, CBCT omogućava detaljnu analizu čak i najmanjih struktura, što pomaže stomatolozima da donesu tačne i efikasne odluke za svaki specifičan slučaj.
Zračenje:
Količina zračenja tokom 3D snimanja zavisi od veličine skenirane oblasti i veličine vokselâ (voxel size). Za aparat Planmeca ProMax 3D Mid, koji je poznat po visokoj preciznosti uz smanjeno zračenje, prosečna doza zračenja za 3D snimanje zuba je približno 10–20 mikrosiverta (µSv). Ovo je značajno niže u poređenju sa tradicionalnim CT snimanjima, koja mogu imati doze zračenja od 100–200 µSv.
3D snimci kao na sajtu.
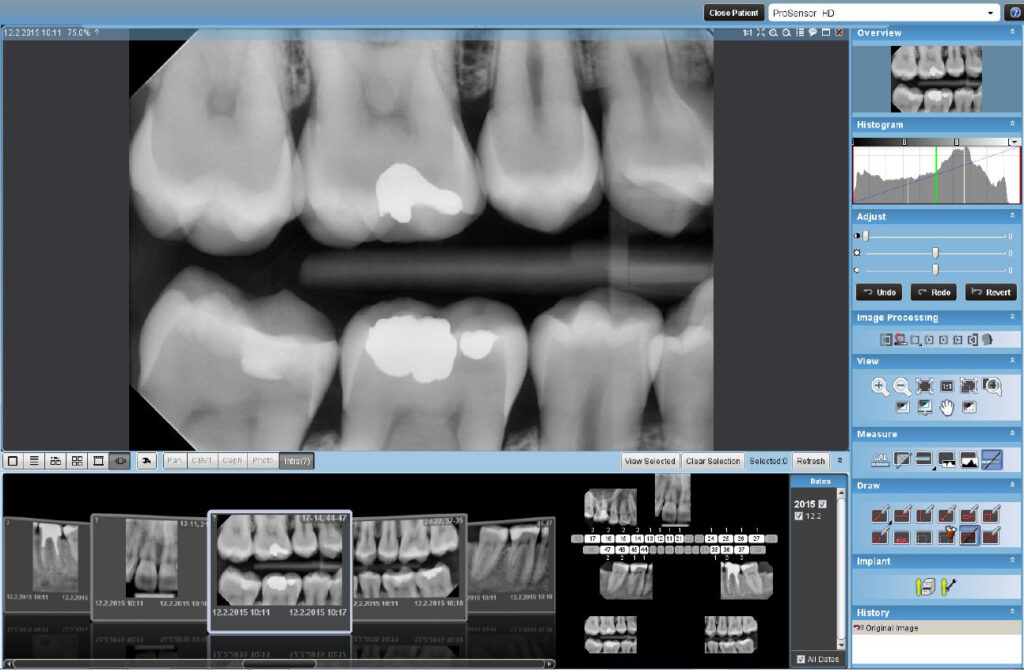
2D snimanje
Pored standardnog panoramskog programa, mogući su i poboljšani: interproksimalni program – prošireni kontakti između zuba za lakšu detekciju karijesa, poboljšani ortognalni program – sa jasno vidljivim alveolarnim grebenom za poboljšanu dijagnostiku parodontalnih oboljenja SmartPan – OPT snimak registrovan 3D senzorom. Sa istom efektivnom dozom dobija se 10 OPT snimaka pa se bira najpogodniji za dijagnostiku.
Programi za sinus, TMZ, cefalolometriju
3D - SNIMCI
2D - SNIMCI








